
IO3-12, the latest innovation in the field of Ultrasonography is BPL-Alpinion’s sophisticated intra-oral transducer. Designed with a footprint as small as the size of a toothbrush, the transducer performs trans-oral sonography with ease. With its small footprint and easy grip, clinicians can easily manoeuvre and view intra- oral structures such as salivary duct dilatations and can also check the position of stone real time during Sialo lithotomy.

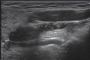
A classic example of this case is the submandibular gland, the most common site of calculi formation. About 85% of submandibular gland calculi are located in Wharton’s duct.
Wharton’s duct and Wharton’s dilatation


While Sonography is the preferred mode of diagnosis for salivary gland calculi, tiny calculi near salivary duct opening are hard to visualize on conventional ultrasound examination. Trans-oral sonography, however, can visualize the submandibular duct and detect the presence of small calculi, thus overcoming the limitations of transcutaneous sonography.
IO3-12 comes with E-CUBE 7, E-CUBE 9 and E-CUBE 15 and here are the images taken using a conventional linear probe and an intra-oral probe.
Conventional linear probe vs Intra-oral probe


Conventionally, the modalities used to diagnose salivary gland calculi like ultrasound, plain radiographs, sialography, CT, MR sialography, and sialoendoscopy can reveal only 20% of the calculi. Intraoral transducer, on the other hand is small and handy compared to the conventional linear transducer with a similar frequency range of about 3-12 MHz and hence it is easier to perform TOUS (Trans Oral Ultrasonography) quickly at an outpatient clinic. TOUS makes it possible to visualize oral cavity organs, such as sublingual gland, submandibular duct, tongue, lips, tonsils and soft palate, which are virtually impossible to image with conventional ultrasound. To gain a deeper understanding of the intra-oral probe application, download the research paper – Transoral Sonographic Diagnosis of Submandibular Duct Calculi_BPLAlpinion



Comments
Thank you for Posted this Informative Content. Are you an aspiring dental professional gearing up for the INBDE (Integrated National Board Dental Examination)? Look no further than DentaBest, your trusted companion in achieving excellence in this pivotal dental examination. We are providing comprehensive Online INBDE preparation course and study materials
By dentabest
Alpinion X-CUBE 90 is one of the most advanced and sophisticated ultrasound machines with high efficiency and best-quality imaging. It has its own antivirus, time-saving solutions, and many more. Visit this website to learn more about it: https://www.uscultrasound.com/ultrasound/new-equipment/alpinion-ultrasound-systems/alpinion-x-cube-90/
By Larry Cofone
Alpinion X-CUBE 90 is one of the most advanced and sophisticated ultrasound machines with high efficiency and best-quality imaging. It has its own antivirus, time-saving solutions, and many more. Visit this website to learn more about it: https://www.uscultrasound.com/ultrasound/new-equipment/alpinion-ultrasound-systems/alpinion-x-cube-90/
By Larry Cofone
Alpinion X-CUBE 90 is one of the most advanced and sophisticated ultrasound machines with high efficiency and best-quality imaging. It has its own antivirus, time-saving solutions, and many more. Visit this website to learn more about it: https://www.uscultrasound.com/ultrasound/new-equipment/alpinion-ultrasound-systems/alpinion-x-cube-90/
By Larry Cofone
Alpinion X-CUBE 90 is one of the most advanced and sophisticated ultrasound machines with high efficiency and best-quality imaging. It has its own antivirus, time-saving solutions, and many more. Visit this website to learn more about it: https://www.uscultrasound.com/ultrasound/new-equipment/alpinion-ultrasound-systems/alpinion-x-cube-90/
By Larry Cofone
Please some more information about dental uktrasound probe Thank you
By Mohamed
Interested in your ultrasound technology for dentistry
By John Noel